자료실 > 유머게시판
쪽지 | 작성글보기 | 신고
https://www.bobaedream.co.kr/view?code=strange&No=6680326
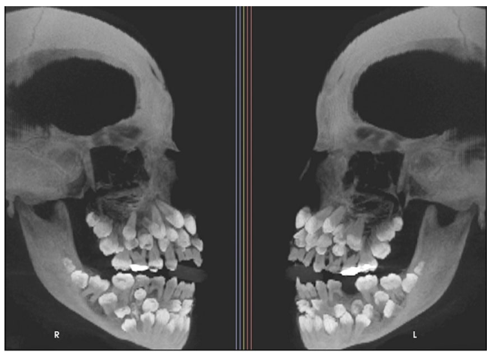
브라질에서 11살 소녀가 유치 한개를 빼기위해 치과 찾았다가
유치18개
영구치 32개
광잉치 31개
총81개 치아가 발견됨 ㄷㄷㄷ
댓글 작성을 위해 로그인 해주세요.
0/2000자
목록 이전페이지 맨위로
저거 어쩌나...
0/2000자